Caso Clínico #89: Síndrome de Löfgren
Mujer de 70 años, sin antecedentes de relevancia, consulta por poliartralgias en manos y pies de una semana de evolución. Al examen físico se constata eritema nodoso en miembros inferiores y signos de artritis en tobillos y muñecas.

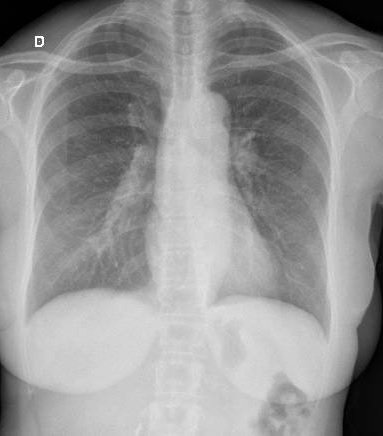
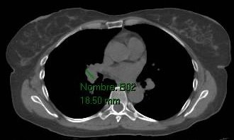
Se realizó radiografía de tórax, que mostró ensanchamiento mediastinal compatible con adenopatías hiliares, hallazgo confirmado mediante tomografía computada de tórax.


Con este cuadro clínico-radiológico se estableció el diagnóstico de síndrome de Löfgren, una forma aguda de sarcoidosis caracterizada por la tríada de eritema nodoso, artritis (habitualmente en tobillos) y adenopatías hiliares bilaterales.
El síndrome de Löfgren representa una de las manifestaciones más reconocibles de la sarcoidosis y, a diferencia de otras formas de la enfermedad, suele tener un curso benigno y autolimitado.
- Epidemiología: aparece típicamente en adultos jóvenes, con predominio en mujeres, aunque puede observarse en edades mayores. Presenta cierta agregación estacional y familiar.
- Clínica: la artritis aguda es habitualmente oligoarticular y compromete principalmente los tobillos; el eritema nodoso se presenta en dos tercios de los pacientes, y las adenopatías hiliares suelen encontrarse en el 80% de los casos.
- Tratamiento: la mayoría de los pacientes no requieren terapia específica, ya que el cuadro tiende a la remisión espontánea. El manejo se centra en el alivio sintomático con antiinflamatorios no esteroides; los corticoides sistémicos quedan reservados para formas graves o refractarias.
- Pronóstico: es excelente. Hasta un 85% de los pacientes presentan remisión completa en los primeros dos años, especialmente aquellos con positividad para HLA-DRB1*03.
Puntos de aprendizaje
- La combinación de eritema nodoso, artritis de tobillos y adenopatías hiliares bilaterales es altamente específica de sarcoidosis aguda.
- El diagnóstico es eminentemente clínico y radiológico; rara vez requiere biopsia.
- El síndrome de Löfgren tiene un pronóstico favorable, y suele resolverse sin necesidad de tratamiento inmunosupresor prolongado.
Bibliografía:
– Kirresh O, Schofield J, George G. Acute sarcoidosis: Löfgren’s syndrome. Br J Hosp Med (Lond). 2015 Mar;76(3):154-8









